Full Mouth Extractions with Same-Day Implants and Fixed Implant Dentures

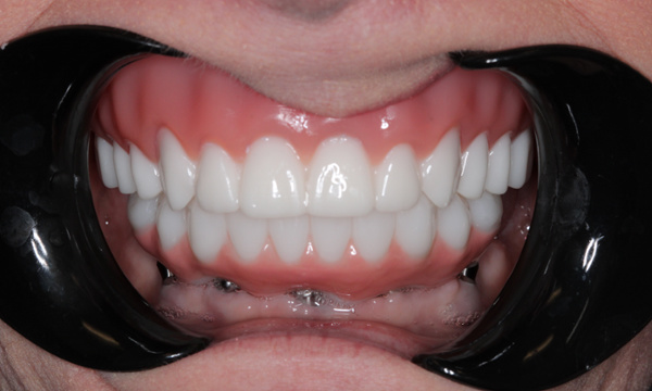
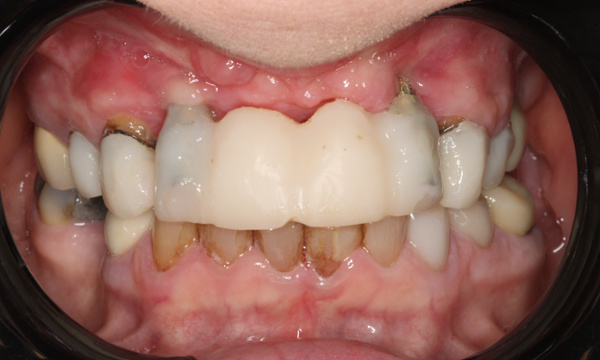
This case involved the removal of all remaining failing teeth in both the upper and lower arches, followed by immediate placement of dental implants. Fixed implant-supported dentures were delivered the same day, providing a stable, non-removable solution right away. By strategically placing implants to support each arch, we restored full function, aesthetics, and long-term stability. The result is a secure, natural-looking smile designed for strength, comfort, and renewed confidence.

Service Performed By:

Dr. Ben Hite
Ready to book an appointment?