Hite Family Dentistry
Dr. Benjamin Hite
Our office will be closed on 11/27 and 11/28 for the holiday. We look forward to helping you when we reopen on 12/1. 
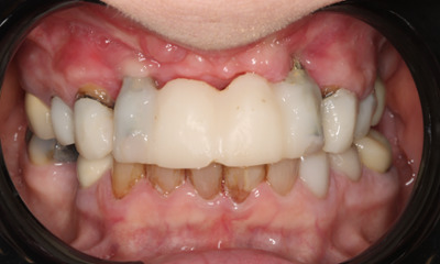
Full Mouth Reconstruction
Restore Your Smile

Full mouth reconstruction involves transforming your dental health so you can eat, speak, and smile confidently again.

Full Mouth Reconstruction | Dentist
Ready to Leave Tooth Pain and Discomfort Behind?
Book a Consultation

Full Mouth Reconstruction in Edwardsville, IL

dental x-rays at hite family dentistryHow long has it been since you felt truly confident about your oral health? At Hite Family Dentistry, we offer full mouth reconstruction—a comprehensive treatment plan that restores function and aesthetics so you can enjoy a healthy, confident smile again.

When your teeth and gums are compromised by decay, damage, or disease, it can impact every aspect of your life. From difficulty eating and speaking to chronic pain and embarrassment, poor oral health can significantly impact your well-being. We know you want to live a happier, more fulfilling life, and improving every aspect of your oral health with full mouth reconstruction might be the solution.

What Is Full Mouth Reconstruction?

Full mouth reconstruction (FMR) is a highly individualized treatment plan to address complex functional and aesthetic issues. Whether it's severe tooth decay, advanced gum disease, or widespread dental damage, FMR can rebuild your smile and restore your quality of life.

This comprehensive approach improves oral health, but the results spill over into your daily life and overall well-being. You’ll regain the ability to eat healthy, nutritious foods, speak clearly and confidently, and share a big smile with friends without feeling self-conscious.

Benefits of Full Mouth Reconstruction

Choosing full mouth reconstruction is a big commitment that comes with numerous oral health and wellness benefits.

Enhanced Function and Comfort

Full mouth reconstruction restores the ability to eat, speak, and chew comfortably. By addressing bite issues, missing teeth, and jaw alignment, you can enjoy your favorite foods without pain or discomfort, greatly improving your quality of life.

Improved Aesthetics and Confidence

FMR restores the function of your teeth and significantly enhances their appearance. When you know your smile is healthy and beautiful, you’re more likely to feel comfortable interacting with others in social and professional settings.

Better Overall Health and Well-Being

By resolving dental decay, gum disease, and structural issues, FMR restores your smile to full health. Improved oral health supports better nutrition, reduces the risk of infections, and contributes to overall systemic wellness.

Meet Our Doctors:

Dr. Ben Hite dentist at Hite Family Dentistry in Edwardsville

Dr. Ben Hite

Dr. Ben Hite is the owner and lead dentist at Hite Family Dentistry. He received his undergraduate education at Southern Illinois University Carbondale and earned his Doctor of Dental Medicine ...

Dr. Nicole Kniffin

Dr. Nicole Kniffin

Dr. Kniffin has been practicing dentistry since 2005 and joined the Hite Family Dentistry team in May 2022. She completed her undergraduate degree at Eastern Illinois University and earned her ...

Dr. Marisa Blickhan

Dr. Marisa Blickhan

Dr. Blickhan graduated from Southern Illinois University School of Dental Medicine in 2024 and joined the Hite Family Dentistry team shortly after. With a background in biological sciences and minors ...

Full Mouth Reconstruction Services

front desk at hite family dentistryYour comprehensive smile treatment plan may include a variety of restorative and cosmetic dental treatments tailored to your unique needs, including:

  • Crowns and bridges to restore broken and missing teeth.
  • Dental implants for long-term tooth replacement.
  • All-on-x implants for full-arch tooth replacement
  • Bone grafting to rebuild jawbone or for implants.
  • Fillings, inlays, and onlays to treat decayed or damaged teeth
  • Root canal therapy to eliminate a tooth infection
  • Dentures and partials to complete your smile affordably
  • Periodontal treatment to restore gum health
  • Tooth extraction to remove problematic teeth and protect your smile.
  • TMJ-related treatments to relieve painful symptoms and restore function

We can combine these restorative treatments with cosmetic procedures like veneers, teeth whitening, and bonding to perfect aesthetics and give you a beautiful, functional smile.

Frequently Asked Questions

To determine if you’re a candidate for full mouth reconstruction, our dental team conducts a comprehensive evaluation, which includes dental exams, x-rays, and 3-D imaging. Our dentists carefully review the condition of your teeth, gums, and jaw to identify any widespread issues such as decay, damage, missing teeth, or alignment problems. We will also consider factors like your overall health, oral hygiene, and pre-existing conditions to ensure you are a good candidate for more complex procedures.

Your Personalized Treatment Plan

Throughout the evaluation process, we take the time to review every step with you. We aim to ensure you understand all aspects of our treatment recommendations and feel comfortable moving forward.

Whether you need crowns, implants, dentures, or other restorative options, we personalize the treatment plan to meet your unique needs. At Hite Family Dentistry, we prioritize patient comfort and work hard to ensure you feel confident and informed about your treatment.

Is Full Mouth Reconstruction for You?

Are you experiencing dental issues that affect your daily life and comfort? We encourage you to contact our Edwardsville, IL, dental office to schedule a consultation with one of our experienced dentists. We’re here to help you explore your options and restore your smile and oral health.

Cynthia-Patient Testimony

Tailoring Your Treatment to Your Needs

image of dental x-ray results in edwardsville il

Making Your Treatment Plan a Reality

Our dedicated team is here to support you throughout your journey to a fully restored smile. From scheduling procedures to helping you navigate insurance and financing options, we'll ensure you feel informed and confident with every step. We understand that full mouth reconstruction is a significant commitment, and we'll do everything to make the process  smooth and stress-free.

Take the First Step Toward a Healthier Smile

Full mouth reconstruction at Hite Family Dentistry can restore your smile, improve your health, and transform your life. Schedule a consultation with our dentist in Edwardsville, IL, today to start your journey toward renewed confidence, comfort, and well-being.

 

Full Mouth Reconstruction Technology

3-D Printing for dental appliances in edwardsville

3-D Printing

3-D printing technology revolutionizes how we create dental appliances and surgical guides at Hite Family Dentistry. Using precise digital scans and 3-D models, we can produce custom surgical guides for implant placement, flippers, dentures, partials, smile trials, and even whitening trays and nightguards, all right in our office.

This capability ensures that most restorations and appliances are tailored perfectly to your needs, reducing wait times and improving the fit, function, and aesthetics of your dental treatments. Whether you need a temporary solution or a permanent restoration, 3-D printing helps us deliver efficient, high-quality care.

 

Digital dental Impressions in edwardsville

Digital Impressions

Digital impressions eliminate the need for messy, uncomfortable traditional molds by capturing precise 3-D images of teeth using a small, handheld scanner. We use these detailed digital models for designing crowns, bridges, veneers, and other restorations.

Combined with our CEREC and 3-D printing technology, we can produce nearly all restorations in-house, ensuring a perfect fit, faster turnaround, and a more comfortable experience. Digital impressions are ideal for patients needing custom restorative work, cosmetic enhancements, or orthodontic treatments.

Featured Blog Posts - Full Mouth Reconstruction

June 13, 2023

Cavities Might Not Hurt, So Here Are Three Important Warning Signs

Tooth decay is a serious issue, but it can be managed with effective prevention and early treatment. Catching a cavity before it gets too advanced can help avoid more extensive procedures, such as root canal treatment, down the line. 

However, it isn’t always easy to tell when you have a cavity as they don’t always cause pain or other noticeable symptoms. In these cases, watching out for other warning signs can be key.

When do cavities cause pain?

Pain and sensitivity are among the most widely known symptoms of a cavity. However, you may not notice those symptoms until tooth decay has gotten out of control. 

hard outer layer called enamel protects your teeth  and this is where a cavity will ...

Discover the Joy and Confidence of a Healthy Smile!
Speak with Our Team
If you have difficulty using our website, please email us or call us at (618) 656-9123
View the ADA Accessibility Statement